"밤샘 노역서 해방" 현직 의사들도 극찬한 AI 데이터라벨링 기술

최태범 기자 기사 입력 2022.08.21 15:18

URL이 복사되었습니다. 원하는 곳에 붙여넣기 해주세요.

공유하기
글자크기

[스타트UP스토리]이준호 인그래디언트 대표 "누구나 의료 AI 연구하는 세상 만들 것"

이준호 인그래디언트 대표 /사진=홍봉진기자 honggga@
이준호 인그래디언트 대표 /사진=홍봉진기자 honggga@
"향후 10년 이내 의료 인공지능(AI) 분야에서 굉장한 입지를 다질 수 있을 것으로 생각한다."

성빈센트병원 안과에 근무하는 정연웅 교수는 의료 AI 데이터라벨링 스타트업 인그래디언트(재이랩스에서 사명 변경)가 개발한 '메디라벨'을 사용한 뒤 이 같은 코멘트를 남겼다.

의료 AI 분야에서 데이터라벨링은 MRI나 CT를 촬영해 획득한 의료영상 자료에서 종양의 위치·크기 등을 체크한 뒤 컴퓨터에 학습(머신러닝)시켜 데이터를 축적하는 전처리 작업을 일컫는다.

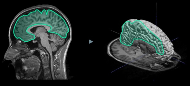
메디라벨 '3D Fill' 기능
메디라벨 '3D Fill' 기능
라벨링된 데이터는 연구 목적은 물론 의료 AI 진단기기를 개발하는 기업의 핵심 리소스로 활용된다. 데이터라벨링-연구-진단-치료로 이어지는 과정의 가장 앞단에 위치한다는 점에서 정확도가 매우 중요하다.

기존 의료 라벨링 소프트웨어는 '그림판' 수준으로 평가된다. 의료영상 데이터를 획득한 뒤 일일이 마우스를 굴려가며 종양이나 병변을 체크한다. 수작업으로 경계선을 명확히 나누기에는 한계가 있어 오랜 시간을 들여도 정확도를 장담할 수 없다.

특히 200~300장에 달하는 다량의 영상 자료를 모두 라벨링 하려면 그야말로 시간과의 싸움이다. 병원 진료도 봐야하고 강의도 하면서 연구까지 해야 하는 교수들 입장에서는 부담이 이만저만 아니다.


최대 10배 빠른 메디라벨, 범용성도 확보



메디라벨은 최대 10배 빠른 속도를 확보했다. 미세한 크기의 염증이나 결절을 찾아내는 '오토 디텍션', 경계선을 정확히 잡아주는 '스마트 펜슬', 라벨링된 데이터를 기반으로 나머지 영상자료의 영역도 자동 예측하는 '3D Fill' 기능 등이 탑재됐다.

메디라벨의 데이터라벨링 분야는 엑스레이, MRI, CT, 초음파 등을 아우른다. 염증, 골절, 종양, 전염병과 같은 질병의 데이터를 다룰 수 있다. 현재 서울대병원, 서울성모병원, 세브란스병원 등 국내 주요 병원에서 데이터라벨링 프로그램으로 채택했다.

이준호 인그래디언트 대표는 "종양에 색칠하는 과정을 라벨링이라고 보면 된다. 정답을 칠해줘야 정확한 의료 AI 개발과 연구 성과로 이어진다"며 "메디라벨은 그림판 수준이던 데이터라벨링을 포토샵 수준으로 높였다"고 했다.

이 대표는 "코로나19(COVID-19)는 물론 폐암·간암을 비롯해 정형외과, 신경외과, 호흡기내과, 영상의학과, 종양내과 등 의료영상을 사용하는 모든 분과에서 메디라벨을 도입할 수 있다"며 "범용성과 가성비가 좋다"고 강조했다.


의사들 "라벨링 작업 시간 크게 줄고 정확도 확보"



인그래디언트 '메디라벨'
인그래디언트 '메디라벨'
실제로 메디라벨을 사용한 정연웅 교수는 "이미지가 비슷한 음영에 맞춰 자동으로 구획이 되기 때문에 라벨링 소프트웨어에 익숙하지 않은 사람도 편리하게 사용할 수 있다. 이 기술만으로도 라벨링 소요 시간이 3분의 1 이상 줄었다"고 했다.

정 교수는 "메디라벨 1년 구독을 신청했다. CT나 MRI를 넘어 다른 검사 이미지에 대한 라벨링 작업을 반자동화할 수 있도록 기능을 확대한다면 향후 10년 이내 의료 라벨링 분야에서 굉장한 입지를 다질 수 있을 것"이라고 평가했다.

김휘영 세브란스병원 교수(연세대 의대 의생명시스템정보학교실 연구조교수)는 "기존 소프트웨어와 비교해 라벨링 작업 시간이 절반가량 줄었다. 수작업에 따른 편차 문제도 메디라벨의 반자동화 툴을 통해 어느 정도 일관성을 확보했다"고 밝혔다.

그는 "영상의학과뿐만 아니라 외과, 신경외과, 내과 등 다른 분야에서도 라벨링 수요가 급증하고 있다"며 "영상분석 전문의가 없는 병원은 메디라벨 같은 반자동화 소프트웨어를 필요로 한다. 관련 시장 규모가 10배는 더 커질 것"이라고 전망했다.


의료 데이터 공유·협업 플랫폼으로 진화



이준호 인그래디언트 대표 /사진=홍봉진기자 honggga@
이준호 인그래디언트 대표 /사진=홍봉진기자 honggga@
인그래디언트는 라벨링을 넘어 의료 데이터 공유·협업 플랫폼으로 영역을 확장한다는 목표다. 이 대표는 "데이터가 쌓이면 이를 관리하는 플랫폼 역할을 할 수 있고, 데이터를 토대로 의료진단을 보조하는 솔루션을 개발할 수도 있다"고 했다.

특히 국내를 넘어 해외시장 개척에도 속도를 내고 있다. 지난달 이스라엘의 벤처투자기업 요즈마그룹을 비롯해 비전크리에이터, 넥스트랜스로부터 14억원의 프리 시리즈A 투자를 유치했다.

지난 4월 글로벌 진출 협약을 맺은 요즈마그룹이 투자사로 합류하면서 해외시장 개척에 가속도가 붙었다. 나녹스·하이퍼파인 등 글로벌 의료기기 회사와 소프트웨어를 연동할 예정이며 북미시장 공략을 위한 미국 현지 법인도 연내 설립할 계획이다.

인그래디언트  
  • 사업분야IT∙정보통신, 의료∙헬스케어
  • 활용기술인공지능, 빅데이터
  • 업력***
  • 투자단계***
  • 대표상품***


이 대표는 "누구나 의료 AI를 연구할 수 있는 세상을 만들고 싶다"며 "한 번 사용하면 만족도가 높지만 사용하게 만드는 것이 어렵다. 더 좋은 의료 AI 기술이 등장할 수 있도록 기여해 의료산업이 발전하는데 도움을 주겠다"고 강조했다.

이 기사 어땠나요?

이 시각 많이 보는 기사